• 수술시간

    40분 내외

  • 입원기간

    3~4일

  • 절개범위

    약 2cm 내외

  • 수술 후 보행

    수술 다음날부터
    가능 (특수 신발 착용)

GAJA YONSEI HOSPITAL

무지외반증 교정술,
영상으로 확인해보세요!

GAJA YONSEI HOSPITAL

가자연세병원
안전 수술 시스템

  • 4천례 이상 수술 경험의 신촌 세브란스병원 및 대학병원 출신 전문의 수술 집도

  • 중앙 무균수술 시스템 구축으로 안전 수술 지향

  • 담당 주치의 책임 관리 체제, 수술 후 체계적인 사후 관리 실시

  • 정형외과/신경외과/마취통증의학과 영상의학과/가정의학과 다학제 협진 시스템

이런 증상이 있다면 '2cm 교정술'이 필요합니다!

단순 미용 목적이 아닌, 발의 기능을 회복해야 하는 신호입니다.

  • 엄지발가락이 옆으로 심하게 휘어 둘째 발가락과 맞닿는다.
  • 튀어나온 관절 부위가 신발을 신지 않아도 통증이 있다.
  • 엄지발가락 쪽 힘이 빠져 자꾸 발바닥 바깥쪽으로 걷게 된다.
  • 발바닥 앞부분에 굳은살이 있고, 통증이 있다.
  • 교정기나 보존치료를 받아도 호전이 없다.

가자연세병원은 당장의 흉터를 줄이는 것보다
재발 가능성을 크게 낮춘 안전한 수술을 지향합니다.

가자연세병원
2cm 무지외반증 교정술
최소침습 무지외반증 수술
수술 대상 30도 이상 (중등도) 이상의 심하게
변형된 무지외반증 환자
중등도 미만 무지외반증 환자
수술 방법 2cm 내외 절개 및 시야 확보 후 연부
조직 유리술 및 정밀 절골/교정 진행
1cm 미만의 구멍을 이용해 절개 후,
영상 장비(C-arm)를 통한 절골/교정
교정 범위 고도 변형도 원하는 각도로
완벽 교정 가능
변형 정도가 중등도 이하의
각도만 교정 가능
장점 고도 변형에 시행해도
재발 가능성이 거의 없음
흉터가 거의 없음
경증 환자에게 효과적임
단점 2cm 내외의 흉터 발생 변형이 심한 환자에게 시행 시
재발 가능성이 상대적으로 높음
GAJA YONSEI HOSPITAL

왜 가자연세병원 2cm 무지외반증 교정술을 해야 하나요?

  • 육안 확인을 통한 '정교한 정렬’
    2cm의 최소 절개창을 통해 의료진이 관절의 정렬 상태를 직접 확인합니다. 여기에 고배율 미세현미경을 활용하여 육안으로 식별하기 어려운 미세 신경과 혈관을 섬세하게 보존하고, 심하게 변형된 뼈를 오차 없이 가장 이상적인 위치로 정렬합니다.
  • 재발을 막는 '강력한 고정력’
    뼈만 깎는 수술은 시간이 지나면 다시 휘어질 가능성이 높습니다. 본원은 엄지발가락을 잡아 당기는 인대와 힘줄을 정교하게 풀어주는 유리술을 먼저 시행하여 재발 요인을 근본적으로 해결합니다. 이후 특수 나사를 이용해 뼈를 견고하게 고정함으로써, 교정된 정렬이 흐트러지지 않도록 유지력을 극대화합니다.
  • 무지외반증 외 복합 변형까지 동시 해결
    중등도 이상의 심한 무지외반증은 발 전체의 균형이 깨져 있습니다. 엄지뿐만 아니라 동반된 다른 발가락의 변형과 발목 불안정 등까지 동시에 정밀하게 치료할 수 있어 수술 후 발의 전체적인 기능 회복에 집중합니다.
GAJA YONSEI HOSPITAL

2cm 무지외반증 교정술 과정

  • 01

    2cm 절개로 시야를 직접 확보하여 중등도 이상의 심한 변형도 육안으로 확인하며 정교하게 수술합니다.

  • 02

    변형의 원인이 되는 주변 인대와 힘줄을 유연하게 풀어주어 수술 후 다시 휘어지는 재발 가능성을 근본적으로 차단합니다.

  • 03

    무너진 발의 구조를 바로잡기 위해 뼈를 미세하게 절골하여, 환자 개개인의 발 모양에 맞는 최적의 정렬로 만드는 절골 수술법을 선택하여 재배치합니다.

  • 04

    교정된 뼈를 특수 나사로 견고하게 고정하여 수술 직후의 완벽한 정렬을 안정적으로 유지하고 빠른 회복을 돕습니다.

GAJA YONSEI HOSPITAL

2cm
무지외반증
교정술 사례

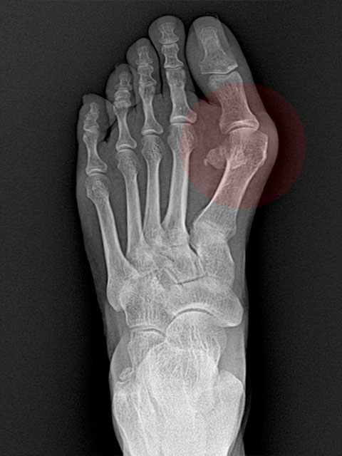
  • Before

    엄지발가락이 둘째 발가락 쪽으로 심하게 휘어 관절의 탈구가 우려되는 단계

  • After

    심하게 꺾였던 엄지발가락의 각도가 수술 후 일자로 교정된 상태